Tjenester

Vi tilbyr et bredt utvalg tjenester for hund, katt og andre smådyr – fra forebyggende helse som vaksiner, helsesjekk og tannbehandling til kirurgi, utredning og oppfølging av kroniske sykdommer. Med moderne utstyr og et faglig sterkt team legger vi vekt på trygghet, god kommunikasjon og skreddersydde løsninger for hvert enkelt dyr og deres eiere.

Kirurgi

Veterinær Eirik utfører de fleste kirurgiske inngrep hos oss. Han er utdannet innen bløtvevskirurgi via ESAVS og universitet i Luxemburg med Certificate of Small Animal Veterinary Practice / Soft Tissue Surgery (bløtvevskirurgi). Foreløpig har vi ikke mulighet til å utføre all type beinkirurgi, men dette er noe vi jobber mot å kunne tilby på sikt.

Eksempler på inngrep vi utfører er korsbåndsoperasjon, kastreringer, fjerning av svulster, hudrekonstruksjoner og diverse bukoperasjoner i lever, tarm, urinblære og milt.

Narkose vil alltid være forbundet med en liten risiko, slik som hos mennesker. De fleste dyr som skal i narkose, bør fastes i ca. 12 timer før inngrepet. Før et dyr blir lagt i narkose foretar vi alltid en grundig klinisk undersøkelse og tar nøyaktig vekt på dyret ditt slik at det får riktig mengde narkosemiddel. Hos eldre og syke dyr, kan det også være aktuelt med blodprøver eller andre undersøkelser før vi foretar kirurgiske inngrep for å eventuelt avdekke annen underliggende sykdom. 

Under operasjon og narkose er dyret intubert for å sikre frie luftveier og gi gassnarkose/oksygen under inngrepet. Vår dyrepleier, Kristine, har lang erfaring innen anestesi og hun overvåker dyret nøye under og etter operasjon.
I tillegg har vi stort fokus på korrekt smertelindring under og etter inngrep for å sikre dyret raskest mulig rekonvalesens.

Vi passer på at eier får god informasjon i etterkant av inngrepet og tar dyret inn til kontroll når det trengs. 

Klinikken er opptatt av faglig kvalitet og riktig utstyr. Vi bruker derfor mye tid og ressurser på etterutdanning og investerer i avansert utstyr for å kunne tilby det aller beste til ditt dyr.

Hudutredninger

Vi tilbyr grundige hudutredninger for hund og katt, med mål om å finne årsaken bak kløe, utslett, hårtap, ørebetennelser og andre hudplager – ikke bare dempe symptomene. Under en hudutredning går vi gjennom sykdomshistorie, gjør en nøye klinisk undersøkelse og tar relevante prøver fra hud og ører, og ved behov blodprøver eller vevsprøver, for å kunne legge en langsiktig og tilpasset behandlingsplan.

Hos oss er det veterinær Merethe Molvær Terøy som har hovedansvar for avanserte hudpasienter; hun har GPCert i dermatologi gjennom Improve International, en internasjonal etterutdanning som gir fordypet kompetanse på hudsykdommer hos hund og katt. Dette gjør at vi kan tilby strukturert utredning også av krevende og kroniske hud- og allergiproblemer, med tett oppfølging over tid for å gi dyret best mulig livskvalitet.

Tannbehandling

Tannsykdom er et av de vanligste problemene vi kommer bort i hos hund og katt. Vi ser mye tannstein, tannkjøttbetennelse, periodontitt og andre sykdommer i munnhulen. Vi vet at tannsykdom kan være svært smertefullt for mennesker, og vi regner derfor med at dyret kan ha det like vondt. Dessverre er dyrene ikke like flinke til å vise smerte, og de slutter som oftest ikke å spise selv om det gjør vondt. Som oftest blir tannsykdom og tannproblem oppdaget hos veterinær. Mange/de fleste hunder og katter kommer til å trenge tannbehandling flere ganger i løpet av livet. 

Tannbehandling må utføres i narkose. Tannbehandlingen består av tannrøntgen, tannrens med ultralydscaler på tenner og under tannkjøtt, polering og eventuelt tanntrekk dersom det er nødvendig. Tannrøntgen bør alltid være en del av tannbehandlingen, da en svært stor andel av tannsykdommene ikke kan oppdages uten at man tar røntgenbilder. Det er også viktig å ta røntgenbilder før og etter tanntrekk for å utføre dette på en trygg måte.

Etter behandlingen vil du få med god informasjon om hva som har blitt gjort og hva du må gjøre videre hjemme. 

Vi har investert i moderne og kostbart utstyr for å kunne tilby det beste til ditt dyr. Veterinær Merethe har tatt flere etterutdanningskurs innen tannsykdom.

Forebyggende behandling mot plakk og tannstein: daglig tannpuss vil forebygge plakk og tannstein hos hund og katt. De fleste dyr kan trenes til å pusse tenner, men det er lettest om man starter når de er unge. Husk å bruke egnet tannbørste og tannpasta laget til dyr!

Tror du dyret ditt trenger tannbehandling? Sett opp en time til tannsjekk eller tannbehandling her.

Vaksinering av

hund og katt

“Nesevaksinen gir best mulig beskyttelse mot kennelhoste”

Målet med å vaksinere er å forebygge sykdommer som er vanskelige eller umulige å behandle med godt resultat. De kan i verste fall være dødelige.

De fleste sykdommene det blir vaksinert mot er virussykdommer. Før vaksine får alle pasienter hos oss en helsesjekk slik at kun friske dyr vaksineres. Vi forholder oss alltid til det siste innen vitenskapen og vaksineprodusentens anbefaling. Noen dyr kan bli litt slappe etter vaksinering, men det vanligste er at du ikke merker noe som helst. Konsekvensene av sykdommen vaksinene beskytter mot er uansett større enn en mindre vaksinerekasjon.

Valper blir vaksinert mot valpesyke, smittsom leverbetennelse, parvovirus og kennelhoste.

For valper er det i dag vanlig at valpen får første vaksine hos oppdretter (ved 8 ukers alder). Deretter anbefales det to vaksiner til, ved 12 uker og 16 uker. Alle hunder anbefales videre å komme til årlig helsesjekk med vaksine livet ut. Vaksineprogrammet består da av årlig kennelhostevaksine, og 3-årig vaksinering mot valpesyke, smittsom leverbetennelse og parvovirus i tillegg til vaksine mot kennelhostevaksine. Kennelhostevaksinen gis vanligvis i nesen, da dette beskytter både mot parainfluensavirus og bakterien Bordetella bronchiseptica (som er en zoonose, dvs. at den kan smitte til mennesker). Nesevaksinen gir best mulig beskyttelse mot kennelhoste. 

Alle katter bør også vaksineres ettersom noen av virusene kan gi alvorlige livsvarige problemer.

For alle katter anbefales vaksine mot kattepest og katteinfluensa/virus som forårsaker øye-, munn- og luftveissykdom. I tillegg bør katter som skal på pensjonat eller utstilling også vaksineres mot klamydiainfeksjon. Kattunger grunnvaksineres to ganger med 3-4 ukers mellomrom, den første vaksinen kan gjerne settes ved 8-12 ukers alder, deretter anbefales årlig revaksinering.

Alle friske kjæledyr anbefales å komme på besøk en gang i året til helsesjekk og vaksine. Å avtale dette besøket er det viktigste du som eier kan gjøre for dyret ditt for å forebygge alvorlig sykdom. Du vil samtidig også forebygge sykdom hos andre dyr, på grunn av at smittepresset blir redusert.

ID-merking og kastrering

“Det er en myte at hunnkatter bør få et kull før de kastreres. Dette er ikke sant og kastrering vil ikke påvirke kattens lynne. ”

Både hunder og katter bør ID-merkes. ID-chipen settes under huden i nakken og har et unikt nummer som kobles til eier. Veterinær, politi og andre instanser som har med bortkomne dyr å gjøre, kan lese av chipen slik at dyret kan gjenforenes med eier. Det er også en fordel at de er ID-merket dersom dyret skulle bli påkjørt eller på annen måte skadet, slik at eier kan kontaktes. ID-chip kan også brukes til katte/hundeluker, slik at bare ditt/dine dyr får slippe inn i huset og de fritt kan gå inn og ut som de selv ønsker.

Kastrering katt: vi anbefaler å kastrere hunn- og hannkatter tidlig. Kastrering er med på å forebygge visse typer kreft, det gir mindre markering og en mer hjemmekjær katt. Kastrerte katter havner sjeldnere i slåsskamp og det er derfor mindre sjanse for bittsår og alvorlige infeksjoner. «Villkatter» og stor kattepopulasjon er et generelt problem, kastrering vil bidra til å redusere dette problemet. Det er en myte at hunnkatter bør få et kull før de kastreres. Dette er ikke sant og vil ikke påvirke kattens lynne. Katter kan kastreres fra ca. 4-5 måneders alder. 

Kastrering hund: lovmessig er det ikke lov å kastrere hunder kirurgisk i Norge uten medisinsk grunn. Kjemisk kastrering kan være et godt alternativ. Ved visse typer sykdommer og  atferdsrelaterte problemer, kan det være aktuelt å kastrere kirurgisk. I visse tilfeller kan det være anbefalt å forsøke kjemisk kastrering først, for å trygt se hva slags effekt kastrering har på din hund.

Utredninger

Vi utfører de fleste former for utredning. Dette kan gjelde hudlidelser, indremedisinske sykdommer eller skader og sykdom i muskler og skjelett. I tillegg til en grundig klinisk undersøkelse kan en utredningen blant annet bestå av blodprøver, urinprøve, celleprøver, røntgen og ultralyd. Noen ganger kan sykdomsbildet og symptomene på sykdom være så vage, at jeg til tross for flere undersøkelser og er det vanskelig å stille eksakt diagnose. Da er det viktig med oppfølging, kontroll og videre utredning ved behov. Ved Kjæledeggen Dyreklinikk er vi opptatt av at du som eier skal få grundig informasjon om hvilke prøver vi ønsker å ta, hvorfor, hvor mye det vil koste, og hva vi forventer å få ut av undersøkelsene vi gjør.

Om vi har stilt diagnosen eller ikke, og sykdommen krever mer enn vårt kompetansenivå tilsier, henviser vi til klinikker eller sykehus som vi føler gir den beste behandlingen til ditt dyr og den aktuelle sykdommen.

Indremedisin er som å løse mysterium. Av og til trenger man mange ledetråder for å finne svaret, andre ganger er det nok med èn ledetråd.

Laboratorium

Kjæledeggen Dyreklinikk har eget klinikklaboratorium. Dette benyttes flittig til ulik sykdomsutredning. Vi har avanserte blod- og urin-analysemaskiner fra IDEXX, som gjør at man kan få svar på prøvene raskt. Dette er analyserer blodceller og en rekke indre organ. Prøver som ikke kan analyseres på våre maskiner, sendes til laboratorium hvor prøvesvar ofte foreligger neste dag.

Mikroskopi er et nyttig vertøy som brukes ved en rekke sykdomstilstander fra hud, ører, mage og tarmsystemet og urinveier. I tillegg har vi egne apparat for urinanalyse.

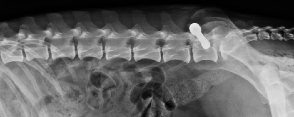
Røntgen

Røntgenundersøkelse

Vi har moderne digitalt røntgensystem og utfører alle typer røntgen av bryst, skjelett og buk. Dette kan benyttes eks. ved akutt oppstått skade eller sykdom, smerter og halthet, skjelettlidelser, anstrengt respirasjon, drektighet eller HD røntgen. Et røntgenbilde kan gi verdifull informasjon som er vanskelig å evaluere på annen måte.

Tannrøntgen

Vi har også digital tannrøntgenmaskin som benyttes ved skader og sykdom i munnhulen. På lik linje med mennesker burde det alltid tas røntgenbilde av munnen ved tannbehandling. Det finnes en rekke lidelser i tannrøtter og beinvev som ikke kan oppdages kun ved inspeksjon av munnen alene. Hos oss er tannrøntgen av hele munnen inkludert i prisen ved vanlig tannbehandling.

PennHip

Vi er stolte av å kunne tilby PennHip røntgenundersøkelse som få i Norge og eneste i Møre og Romsdal. PennHip er en undersøkelsesmetode som kan benyttes for å evaluere hoftene til hunder og sannsynligheten for å utvikle artrose/leddgikt senere i livet. Røntgenbildene sendes til USA for tolkning og en fullstendig rapport gås i igjennom med eier i etterkant.

PennHip er meget nyttig for hunder tilltenkt arbeid og/eller avlshunder. Undersøkelse kan utføres allerede fra 16 ukers alder, slik at problemer kan oppdages tidligere i livet og tiltak kan iverksettes før det skjer større skader.

Ultralydundersøkelse

Ultralydundersøkelse er en skånsom undersøkelse for dyret som innebærer lite smerte og stress. Ofte kan slik undersøkelse gjøres i våken tilstand, men bedøvelse kan bli gitt om dette trengs.

En rekke ulike sykdommer og tilstander kan diagnostiseres, og ultralydmaskinen er like anvendelig i akutte tilfeller, som til drektighetsdiagnostikk og kompliserte sykdomsutredninger.

Vi tilbyr de fleste former for ultralydundersøkelse og tilbyr også ultralydundersøkelser av hjertet.

Siemens healthineers - Ultralyd i verdensklasse

Sunnmøre Dyreklinikk er stolte av å kunne tilby meget moderne og avansert ultralyd. Bildediagnostikkens bidrag til behandling og oppdagelse av sykdom blir stadig viktigere. Å kunne oppdage sykdom tidlig, gjør at behandlingen kan bli mer effektiv og sjansen til å bli frisk blir større. Når bruksområdet til bildediagnostikk utvides fra kun diagnostikk til også å forebygge og behandle, gir det mulighet til å redusere helsekostnader. Brukervennlighet, tidsbesparende funksjoner og suveren bildekvalitet kjennetegner bildediagnostiske produkter fra Siemens.

Attester

Vi kan utstede mange former for attester hos hund og katt. Disse krever alle en grundig undersøkelse av veterinær hvor relevante funn og sykehistorie blir gjennomgått. Dette kan ofte kombineres med andre behandlinger som vaksine, hvor alltid helsesjekk inngår.

  • Generell helseattest

  • Vaksinasjonsattest

  • Attest ved kjøp og salg (kull/oppdrettere)

  • Forsikringsattest

  • Patellastatus NKK

  • BOAS gradering NKK

BOAS gradering

BOAS (Brachycephalic Obstructive Airway Syndrome) er en samlebetegnelse for luftveislidelser som kan ramme brachycephale hunderaser (raser med kort og bred hodeskalle og snute). Syndromet karakteriseres av nedsatt passasje av luft gjennom øvre luftveier. Affiserte hunder kan ha symptomer av varierende alvorlighetsgrad, fra milde snorkelyder til uttalte pusteproblemer, problemer fra gastrointestinaltraktus og søvnproblemer. Norsk Mopsklubb, Norsk Bulldog Klub og NKKs brachycephalråd ønsker å innføre BOAS-graderingen som et avslverktøy i Norge.

NKK driver BOAS-screeningprogram (siden 2019) for raser som mops, fransk bulldog og engelsk bulldog, basert på University of Cambridge-modell med gradering fra 0 (ingen symptomer) til III (alvorlig). Hensikten er å ekskludere syke individer fra avl.

Kun veterinærer godkjent via NKKs kurs kan utføre offisiell gradering, registrert i DogWeb.

  • Veterinær Eirik Svendsen er sertifisert gjennom NKK til å utføre BOAS gradering hos Mops, Fransk bulldog og Engelsk bulldog.